


親知らずは抜かなくてもいいんです
親知らずは、トラブルが多い歯のため、絶対に抜かなければならないと思われがちですが、
長期的な視野でみた場合、むしろ残存させておく方良い場合もあります。
しかし、現在の親知らずの状態が口腔内に悪影響を与えている場合や、
今後トラブルを起こすリスクがある場合においては、抜歯を推奨する事もございます。
親知らずの抜歯を迷われてる方は、抜歯すべきか残こすべきかに関して、
現在通院している歯科医院にて相談する事をおすすめします。

虫歯や歯周病、または事故などが原因で歯を失った場合に、
歯の機能を補う治療として入れ歯やインプラント、ブリッジ治療が一般的です。
しかし、親知らずが正常に生えていて、条件が合う場合においては、
移植を行って、歯の機能を回復させる方法も選択肢の一つとして存在します。
親知らずは自分の歯ですので、人工物に比べ親和性も高く、
歯根膜と言う歯のクッションとなる周辺組織も一緒に移植が行える事で、
以前の歯と変わらない感覚で使用して頂けるのが特徴です。移植が行える場合の条件は以下となります。
上記の条件を満たして患者様には、歯の修復治療の際、親知らずの歯牙移植を推奨しております。

まっすぐ生えなかった親知らずは、横向きに生えてきたり様々な角度で生えてきます。時間の経過と共に親知らずも成長し、前方の歯に接触してゆっくりと咬み合わせや歯列を乱し始めます。
こういった場合に、将来的な歯並びや咬み合せを考慮して早い段階での抜歯をおすすめします。

親知らずと隣の歯の間に汚れが溜まり、菌が繁殖する事で炎症が起こります。この炎症を智歯周囲炎と呼び、悪化する事で痛みや開口障害、発熱などを引き起こします。
このような炎症を繰り返す場合にも抜歯をおすすめします。炎症がひどい場合には、麻酔効き目が落ちますので、薬等で炎症を抑えてからの抜歯となります。

親知らずは、生える場所が1番奥になるため自身でのケアが難しく、虫歯や歯周病になりやすくなります。
実際に罹患した場合にも、改善は見込めないことが多く、お口全体に悪影響を及ぼす事があるため抜歯をおすすめします。
女性は妊娠前に親知らずを抜いておきましょう
妊娠中は、ホルモンバランスの乱れから親知らずが痛む事があります。
しかし胎児への影響を考えレントゲンはじめ、様々な処置が行えず親知らずの処置ができません。
痛み止めなども控えた方がいいため、痛みに耐えて頂く事になります。
そういったリスクを回避するために、女性には妊娠前に親知らずを抜く事をおすすめしています。

親知らずの抜歯は痛いと思われていますが、抜歯をする時には麻酔を
十分に効かせた状態での処置になるため、ほとんど痛みを伴いません。
さらに、以前までは麻酔注射も歯科治療において痛みの代表格でしたが、
歯科医療の進歩により現在では様々な器具や技術によって痛みを緩和する事が可能です。
当院では、患者様になるべく負担のないように、様々な工夫をしながら処置をしていますのでどうぞご安心下さい。

親知らずを抜歯をすると、患部に血が溜まり固まる事で傷口を塞ぎ、骨の露出や細菌の感染を防いでくれます。この血の塊が上手く形成されなかったり、うがいや患部を刺激する事で剥がれてしまった場合に、傷口がむき出しとなり、強烈な痛いを伴います。
この症状をドライソケット言い、親知らずの抜歯後にもっとも気をつけるべき症状の一つとされています。抜歯後は、安静にして血の塊が剥がれないように気を付けましょう。

親知らず抜歯後は一時的に口臭がきつくなる事があります。考えられる理由としては、歯を抜いた場所のくぼみに食べカスなどが溜まり発酵していることや、治癒過程の傷が臭いを発している場合など理由は様々です。
傷が治癒すれば臭いも収まるので、しばらくの間はマスクなどで配慮して頂く事が賢明です。つまった物を取ろうと、うがいや歯磨きを頻繁に行うと、ドライソケットになる恐れがあるため控えましょう。あまりにも気になる場合には、歯科医院にて対応してもらうことをおすすめします。
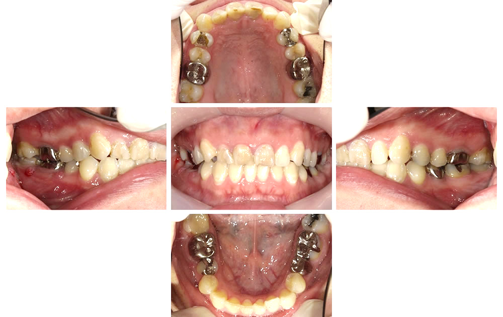
歯根が割れていた右下奥歯を抜歯後、親知らずを移植して咬み合わせを回復した症例をご紹介します。
【初診時口腔内写真】
こちらの患者さまは、右下奥歯が痛いとの主訴で来院されました。右下奥歯をピンセットで触ると、歯の動揺が確認できました。
【初診時レントゲン写真】
【黄色】・・・噛み合わせに参加していない親知らず
【青色】・・・横向きの親知らずと手前の歯にも虫歯がある
【赤色】・・・根の周囲で大きく骨が溶けている
親知らずの移植は自分の歯を用いるため、インプラントなどの人工物に比べて馴染みが良く、
さらに大掛かりな手術も必要ないため、治療時のリスクも少ないのがポイントです。
(左)(中央)保存不可能な右下の奥歯を抜歯した状態です。
(右)上の親知らずの大きさを測り、移植する場所の大きさと検討します。
歯根膜と呼ばれる根の周囲の組織をなるべく傷つけないよう、上顎の親知らずを丁寧に抜歯しました。
その後、移植先にて歯の向きや角度を試行錯誤しながら収まりの良い位置を探します。
収まりの良い位置が決まったら、動かないように糸で縫い合わせて歯を固定します。
この状態で2週間ほど安定するのを待ちます。
| 年齢/性別 | 30代 女性 |
|---|---|
| 治療期間 | 約6ヵ月 |
| 治療回数 | 10回程度 |
| 治療費 | 自費診療 704,000円(税込) |
| リスク・注意点 | ・移植した歯がうまく、くっつかない場合もある。 ・移植に適した歯の条件がある。 ・移植後正常な治り方をせず、歯と骨が固まってしまうことがある |

市川市行徳で親知らずの適切な診断をご希望の方は、行徳スマイル歯科までご相談下さい。
当院では、患者様の口内の状態を考慮し、将来的な歯牙移植なども視野に入れた的確な診断を心がけています。
さらに、抜歯となった場合でも、できるかぎり負担をかけずに処置を行いますので、
親知らずに関してお悩みの際はぜひ、当院までお気軽にご相談下さい。